Skip to content
Home
Products
Portfolio
News
Events & Training
About Us
Contact Us
Navigation Menu
Navigation Menu
Home
Products
Portfolio
News
Events & Training
About Us
Contact Us
Distal Ulna Cases
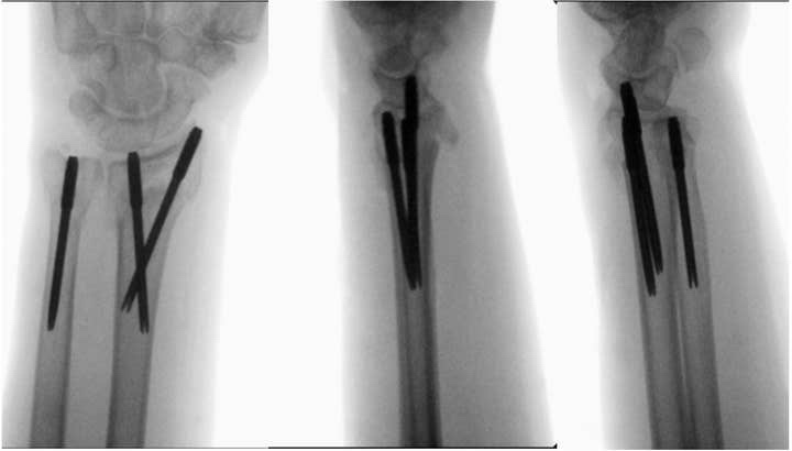
Anteroposterior, lateral, and oblique postoperative images (B) of distal radius and ulna fractures fixed with T-Pins.
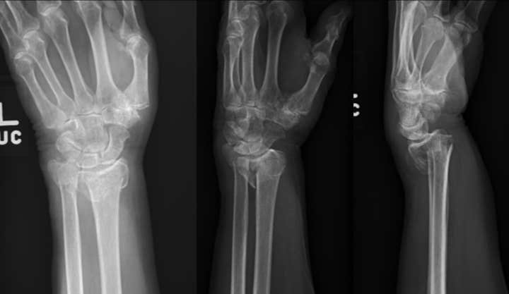
Anteroposterior, lateral, and oblique preoperative images of distal radius and ulna fractures